很多人出现胸闷,心慌等症状后会急急忙忙到医院做个心电图检查,但是做完心电图后医生往往会要求患者再做一次心脏彩超检查。那么这个时候患者就会很疑惑,是不是医生又在乱开检查哟。

那让我们一起来认识一下什么是心脏彩超检查吧!
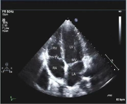
心脏彩色多普勒超声检查是一种实时、动态的心脏超声检查技术,没有放射性和毒性,是一种安全、无创、可重复性高的超声检查技术。心脏超声有两种检查方式:经胸超声和经食道超声。

心脏彩超检查包括哪些内容呢?
1.心脏彩色多普勒超声常规检查;
2.左心功能测定;
3.组织多普勒(TDI);
4.室壁运动分析。

检查时需要空腹吗?
经胸超声不需要空腹。检查时需对胸部进行扫查,患者最好穿宽松、舒适且容易穿脱的衣服。
哪些人群需要做心脏彩超?
通常是医生通过查体后,认为有必要进行心脏彩超检查明确病情,如:
1.怀疑先天性心脏病(如室间隔缺损,动脉导管未闭,肺动脉狭窄等)、心脏瓣膜病(风湿性、老年退行性疾病)、心肌病、心肌炎、心脏支架植入术后、心脏瓣膜置换术后等。
2.有头昏、头痛、胸闷、呼吸困难等不适症状的。
3.有高血压、糖尿病、心律失常等心血管疾病的。
4.心电图、X线检查异常的,术前评估的。
5.40岁以上心血管疾病高发人群体检建议开展此项检查。
让超声检查成为帮助临床医生看清心脏的眼睛,我们一起护卫心脏健康吧!

医院简介
About Us
•医院电话:023-52222278
•人力资源管理科:023-81751601
•急救电话:023-85877120
•地址:重庆市开州区开州大道(西)123号
•邮政编码:405400